Sua Saúde

    • Inicial
    • Receba por Email
    • Grupo de Whatsapp
    • Vende algum produto para Saúde?
    • Todos os Blogs
    • Parceiros
    Escovar dente com água quente não faz mal; confira mitos

    Escovar dente com água quente não faz mal; confira mitos

    quinta-feira, setembro 19, 2013

    Na hora de escovar os dentes, todo mundo tem uma mania, um truque, uma dica. Mas...

    Mais informações »
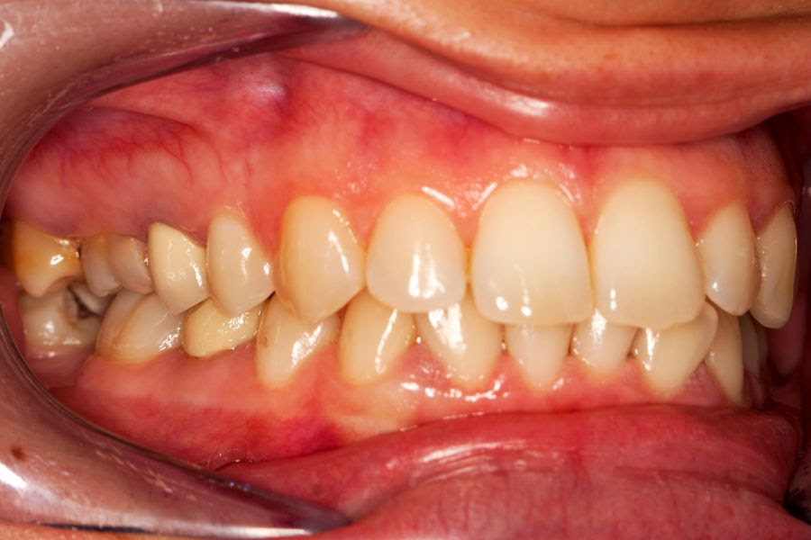
    Gengivite: veja como prevenir este mal

    Gengivite: veja como prevenir este mal

    sábado, setembro 14, 2013

      Se sua gengiva está vermelha, inchada ou sensível é hora de procurar um dentista o mais rápido possível. Esses si...

    Mais informações »
    Funcionamento da tireóide influencia atividade física

    Funcionamento da tireóide influencia atividade física

    quinta-feira, setembro 12, 2013

    O exercício físico tem como característica alterar diversas funções do organismo humano por ...

    Mais informações »
    Clareamento dental sem supervisão pode causar até câncer

    Clareamento dental sem supervisão pode causar até câncer

    sexta-feira, setembro 06, 2013

    Clareamento dental sem supervisão pode causar até câncer O clareamento dos dentes,...

    Mais informações »
    AVC: Indício de outras doenças

    AVC: Indício de outras doenças

    terça-feira, setembro 03, 2013

    Em pessoas que já sofreram um Acidente Vascular Cerebral há a possibilidade de existirem outras artérias, de diferentes partes do orga...

    Mais informações »
    Postagens mais recentes Postagens mais antigas Página inicial
    Assinar: Comentários ( Atom )

    Redes Sociais



    Seguir @SuaSaude

    Instagram

    TOP 10 + Lidas no Mês

    • Fisioterapia para Pé e Tornozelo: Como Tratar as 5 Principais Condições que Atingem Seus Pacientes
        O pé e o tornozelo são estruturas complexas, que suportam o peso do corpo e desempenham um papel vital na locomoção. Quando essas áreas sã...
    • 'Gordinho saudável' é um mito, diz pesquisa
      Excesso de gordura ainda traz riscos à saúde, mesmo com níveis de colesterol e pressão normais ...
    • Lítio estabiliza memória de idosos com Alzheimer
        Microdoses do medicamento mostraram Um grupo de pesquisadores do Brasil e dos Estados Unidos apresentou resultados promissores no uso de l...
    • Como doar orgãos em vida
      A compatibilidade sanguínea é primordial em todos os casos. Há também testes especiais para selecionar o doador que apresenta maior chanc...
    • Função do fisioterapeuta na UTI
      As Unidades de Terapia Intensiva têm como foco principal o suporte da vida e o tratamento de indivíduos doentes com instabilidade clínic...
    • Adolescentes x Ginecomastia
      Jovens do sexo masculino que desenvolvem as mamas acima do considerado normal sofrem de um problema chamado ginecomastia. O problema po...
    • Grávida que fuma faz bebê receber menos nutrientes
      Menor quantidade de oxigênio e nutrientes, problemas de formação e dificuldades de aprendizagem são algumas complicações que os bebês enfr...
    • OMS emite alerta global sobre zika vírus e reconhece relação com microcefalia
        A Organização Mundial de Saúde e a Organização Pan-Americana de Saúde emitiram nesta terça-feira (1º) um alerta mundial sobre a epidemi...
    • Saiba mais sobre a Bursite do Quadril (ou trocantérica)
      A bursite trocantérica ou do quadril é uma inflamação da bursa, que é um tecido sinovial localizado na porção lateral do quadril, que serve ...
    • Importância do potássio para o bom funcionamento do nosso organismo
      Você já sabe que quando perdemos líquidos, principalmente através da transpiração excessiva (que vem exatamente com a prática de atividade...

    Outros posts sobre Saúde


    Receba no seu Email:

    Quem faz



    Seguir @CHAKalat

    Instagram

    Formulário de contato

    Nome

    E-mail *

    Mensagem *

    Todos os Assuntos

    Assuntos:


  • Atividade Física
  • Drenagem Linfática
  • Estética
  • Fisioterapia
  • Ginástica Laboral
  • Odontologia
  • Terapias Alternativas

  • Patologias:


  • Alcolismo
  • Alzheimer
  • Anorexia
  • Asma Tratada
  • Artrose
  • Dengue
  • Depressão
  • Desordem Bipolar
  • Dores na Coluna
  • Entorses
  • Fratura na mão
  • Hérnia de Disco
  • Osteoporose
  • Paralisia Facial
  • Tabagismo
  • Tendinites
  • Arquivo desse assunto

    • ►  2024 (1)
      • ►  agosto (1)
    • ►  2023 (1)
      • ►  março (1)
    • ►  2022 (12)
      • ►  outubro (3)
      • ►  agosto (1)
      • ►  junho (2)
      • ►  março (2)
      • ►  fevereiro (2)
      • ►  janeiro (2)
    • ►  2021 (26)
      • ►  dezembro (4)
      • ►  novembro (1)
      • ►  outubro (4)
      • ►  setembro (1)
      • ►  agosto (3)
      • ►  julho (3)
      • ►  junho (3)
      • ►  abril (3)
      • ►  março (1)
      • ►  fevereiro (2)
      • ►  janeiro (1)
    • ►  2020 (65)
      • ►  dezembro (4)
      • ►  novembro (9)
      • ►  outubro (3)
      • ►  setembro (7)
      • ►  agosto (5)
      • ►  julho (4)
      • ►  junho (6)
      • ►  maio (10)
      • ►  abril (1)
      • ►  março (8)
      • ►  fevereiro (3)
      • ►  janeiro (5)
    • ►  2019 (49)
      • ►  dezembro (7)
      • ►  novembro (10)
      • ►  outubro (6)
      • ►  setembro (1)
      • ►  agosto (3)
      • ►  julho (2)
      • ►  junho (3)
      • ►  maio (6)
      • ►  abril (1)
      • ►  março (5)
      • ►  fevereiro (1)
      • ►  janeiro (4)
    • ►  2018 (41)
      • ►  novembro (1)
      • ►  outubro (9)
      • ►  setembro (1)
      • ►  agosto (2)
      • ►  julho (3)
      • ►  junho (7)
      • ►  maio (4)
      • ►  abril (3)
      • ►  março (6)
      • ►  fevereiro (3)
      • ►  janeiro (2)
    • ►  2017 (58)
      • ►  dezembro (2)
      • ►  novembro (3)
      • ►  outubro (1)
      • ►  setembro (1)
      • ►  agosto (4)
      • ►  julho (5)
      • ►  junho (14)
      • ►  maio (7)
      • ►  abril (7)
      • ►  março (6)
      • ►  fevereiro (4)
      • ►  janeiro (4)
    • ►  2016 (31)
      • ►  outubro (2)
      • ►  setembro (1)
      • ►  agosto (1)
      • ►  julho (2)
      • ►  junho (2)
      • ►  maio (5)
      • ►  abril (2)
      • ►  março (7)
      • ►  fevereiro (4)
      • ►  janeiro (5)
    • ►  2015 (73)
      • ►  dezembro (5)
      • ►  novembro (6)
      • ►  outubro (7)
      • ►  setembro (2)
      • ►  agosto (5)
      • ►  julho (7)
      • ►  junho (7)
      • ►  maio (7)
      • ►  abril (8)
      • ►  março (7)
      • ►  fevereiro (7)
      • ►  janeiro (5)
    • ►  2014 (135)
      • ►  dezembro (9)
      • ►  novembro (8)
      • ►  outubro (7)
      • ►  setembro (6)
      • ►  agosto (9)
      • ►  julho (14)
      • ►  junho (11)
      • ►  maio (13)
      • ►  abril (17)
      • ►  março (10)
      • ►  fevereiro (23)
      • ►  janeiro (8)
    • ▼  2013 (94)
      • ►  dezembro (7)
      • ►  novembro (8)
      • ►  outubro (10)
      • ▼  setembro (5)
        • Escovar dente com água quente não faz mal; confira...
        • Gengivite: veja como prevenir este mal
        • Funcionamento da tireóide influencia atividade física
        • Clareamento dental sem supervisão pode causar até ...
        • AVC: Indício de outras doenças
      • ►  agosto (7)
      • ►  julho (11)
      • ►  junho (10)
      • ►  maio (7)
      • ►  abril (4)
      • ►  março (9)
      • ►  fevereiro (9)
      • ►  janeiro (7)
    • ►  2012 (169)
      • ►  dezembro (10)
      • ►  novembro (10)
      • ►  outubro (17)
      • ►  setembro (15)
      • ►  agosto (10)
      • ►  julho (20)
      • ►  junho (6)
      • ►  maio (29)
      • ►  abril (11)
      • ►  março (17)
      • ►  fevereiro (15)
      • ►  janeiro (9)
    • ►  2011 (88)
      • ►  dezembro (17)
      • ►  novembro (11)
      • ►  outubro (8)
      • ►  setembro (11)
      • ►  agosto (8)
      • ►  julho (8)
      • ►  junho (8)
      • ►  maio (2)
      • ►  abril (4)
      • ►  março (2)
      • ►  fevereiro (4)
      • ►  janeiro (5)
    • ►  2010 (215)
      • ►  dezembro (3)
      • ►  novembro (9)
      • ►  outubro (5)
      • ►  setembro (5)
      • ►  agosto (3)
      • ►  julho (3)
      • ►  junho (13)
      • ►  maio (32)
      • ►  abril (29)
      • ►  março (32)
      • ►  fevereiro (34)
      • ►  janeiro (47)
    • ►  2009 (316)
      • ►  dezembro (43)
      • ►  novembro (55)
      • ►  outubro (26)
      • ►  setembro (37)
      • ►  agosto (21)
      • ►  julho (32)
      • ►  junho (9)
      • ►  maio (5)
      • ►  abril (27)
      • ►  março (1)
      • ►  fevereiro (45)
      • ►  janeiro (15)
    • ►  2008 (71)
      • ►  dezembro (2)
      • ►  novembro (15)
      • ►  outubro (7)
      • ►  setembro (6)
      • ►  agosto (8)
      • ►  julho (5)
      • ►  junho (6)
      • ►  abril (12)
      • ►  março (5)
      • ►  fevereiro (5)
    • ►  2007 (4)
      • ►  dezembro (1)
      • ►  novembro (3)
    Created By SoraTemplates & MyBloggerThemes